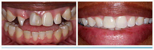
Cosmetic Dentistry
At Hobbs Dentistry of Augusta, we want our patients to enjoy smiling! We know that how each individual feels about their smile plays an important role in how they interact with their friends, family and co-workers on a daily basis.
What is Cosmetic Dentistry?
Cosmetic dentistry describes dental procedures that are focused on enhancing the appearance of your smile. Treatments include a variety of options from teeth whitening and cosmetic tooth bonding to complete smile makeovers with custom dental veneers and crowns.
